5-Year Impact Factor: 0.9
Volume 35, 12 Issues, 2025
  Case Report     December 2022  

Lymphoepithelioma-like Carcinoma of the Stomach: A Case Successfully Treated with Chemotherapy

By Lifang Shao1, Jiu Chen2, Lixiong Ying3

Affiliations

  1. Department of Infectious Diseases, the First Affiliated Hospital, College of Medicine, Zhejiang University, Hangzhou, China
  2. Department of Traditional Chinese Medicine, the First Affiliated Hospital, College of Medicine, Zhejiang University, Hangzhou, China
  3. Department of Pathology, the First Affiliated Hospital, College of Medicine, Zhejiang University, Hangzhou, China
doi: 10.29271/jcpsp.2022.Supp.S227

ABSTRACT
Lymphoepithelioma-like carcinoma of the stomach is a rare gastric tumour. Pathological features include undifferentiated carcinoma mixed with prominent stromal lymphoid infiltration. The incidence is significantly higher in men. Lesions occur more often in upper gastric locations, with lower numbers of lymph node metastases and better overall survival rates than other gastric carcinomas. Because of its rarity, standardised management is currently unavailable. A case of lymphoepithelioma-like carcinoma of the stomach is presented that was successfully treated with chemotherapy consisting of only two cycles of tegafur, gimeracil, and oteracil plus oxaliplatin.

Key Words: Lymphoepithelioma-like carcinoma, Stomach, Chemotherapy.

INTRODUCTION

Lymphoepithelioma-like carcinoma of the stomach, also known as gastric carcinoma with lymphoid stroma, is a rare histological subtype of gastric cancer that is characterised by undifferentiated carcinoma mixed with prominent stromal lymphoid infiltration.1 It constitutes only 1–4% of all gastric carcinomas.1 Lymphoepithelioma-like carcinoma of the stomach is usually categorised as EBV-positive or EBV-negative carcinoma. Among all reported cases, approximately 90.5% were EBV-positive.2 EBV is thought to be one of the possible carcinogenic factors; nevertheless, the precise pathogenesis remains unclear. Compared with other gastric carcinomas, lymphoepithelioma-like carcinoma has distinct clinicopathological features and clinical behaviours, including sex predilection, anatomic subsites, number of lymph node metastases, overall survival rate, and others.2,3 The patient’s inflammatory response is thought to contribute to a low risk of lymph node metastasis and significantly better prognosis even in patients with advanced disease.3 Because of its rarity, standardised management protocols are currently unavailable.3 Because of its unique clinicopathological features, an appropriate treatment strategy is required because excessive treatment could increase damage, discomfort, and financial burdens.

A case of a lymphoepithelioma-like carcinoma of stomach is presented that was successfully treated with chemotherapy consisting of only two cycles of SOX regimen (tegafur-gimeracil-oteracil plus oxaliplatin).

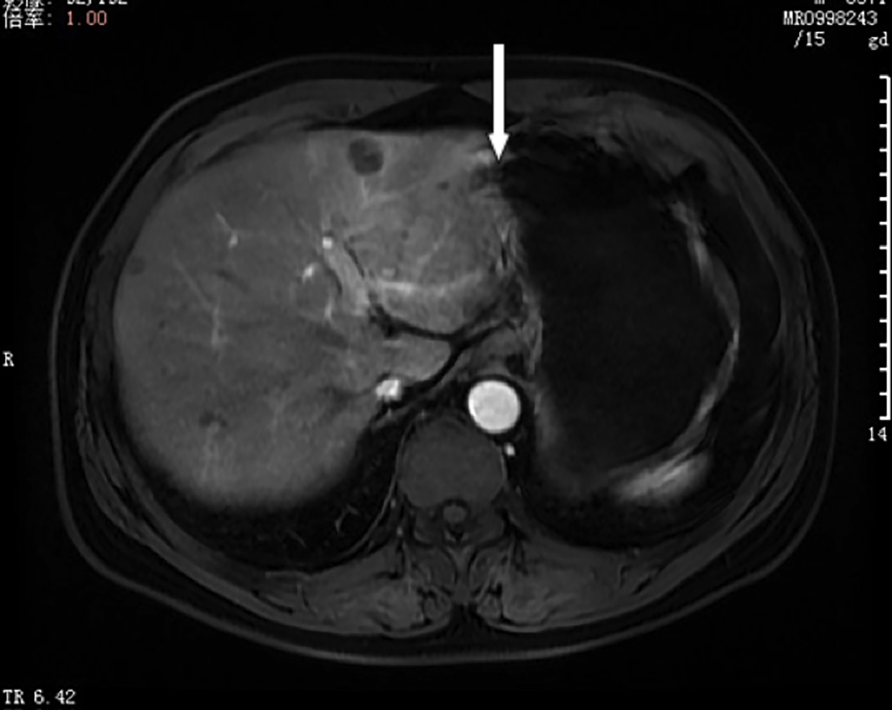
Figure 1: Computed tomography of the tumour.

CASE REPORT

A 57-year man was admitted in 2019 because of regurgitation and belching for more than 2 years. He denied nausea, vomiting, hematemesis, melena, or weight loss. The patient had been previously healthy. He had a history of smoking for more than 30 years. His father had been diagnosed with hypertension and diabetes mellitus. His mother and two younger sisters were healthy. Physical examination on admission was unremarkable. The laboratory examinations were almost normal, including complete blood count, hepatorenal functions, and tumour markers (alpha-fetoprotein, carcinoembryonic antigen and carbohydrate antigen 19-9). Computed tomography (CT) of the whole body ruled out bony metastases. Both contrast-enhanced CT and MRI revealed thickening of the wall of the gastric angle with enlarged surrounding lymph nodes.

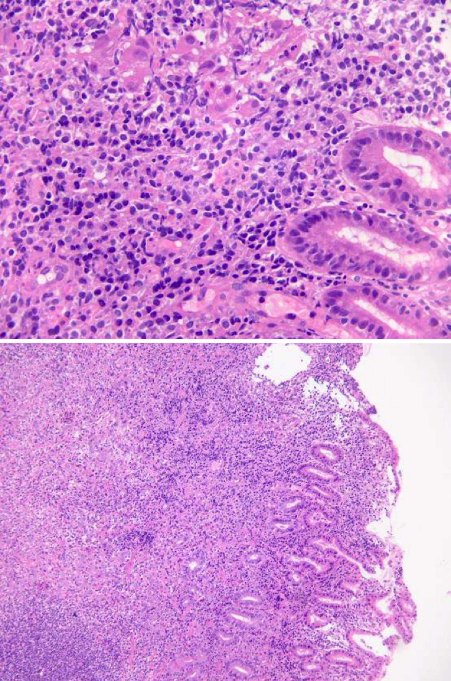
The ulcer of the gastric angle was visualised using gastroscopy, biopsy, and histopathological examinations confirmed the diagnosis of lymphoepithelioma-like carcinoma (Figure 2). Furthermore, immunohistochemical analysis (Figure 3) indicated that the tumour cells were positive for Cytokeratin and negative for CD3 and CD Leucocyte Common Antigen (LCA). Ki67 proliferative index was low. The background lymphoid cells stained positive for LCA.

Figure 2: Histopathological examination (haematoxylin and eosin staining with X100 magnification and X400 magnification, respectively).

On the basis of this diagnosis, and considering the patient’s age and general condition, two cycles of SOX regimen (tegafur-gimeracil-oteracil capsules 80 mg·(m2)-1·d-1 1-14 and oxaliplatin 130 mg/m2 d-1) were prescribed, and then radical gastrectomy was performed with lymph node dissection and Roux-en-Y reconstruction. There was a greyish-white area at the small curvature of the stomach, with dimensions of 1×1.5 cm. Pathological response assessment showed tumour regression grade 0 without any tumour cells with multiple sampling and deep sections. After surgery, another three cycles of SOX regimen (tegafur-gimeracil-oteracil plus oxaliplatin) were given and contrast-enhanced CTs were obtained every four months, none of which revealed signs of recurrence up to the time of this report.

Figure 3: (A) Immunohistochemical staining for PanCK marking epithelial tumour cells (×200). (B) Immunohistochemical staining for Ki67 (×200). (C) Immunohistochemical staining for Leucocyte common antigen (LCA) marking background epithelial cells (×200). (D) Immunohistochemical staining for vimentin (×200).

DISCUSSION

Gastric cancer is the fifth most common cancer and the third leading cause of cancer death worldwide.4 More than half of the cases in the world occur in East Asia. Even in the context of deep submucosal invasion and poor differentiation of lymphoepithelioma-like carcinoma, the probability of lymph node metastasis remains very low.5 The tumour is characterised by distinct clinicopathological features and clinical behaviour; >90% of lymphoepithelioma-like gastric carcinoma cases were reported in the context of EBV infection.2,6 In the present case, the patient refused to undergo EBV testing because of personal economic reasons. EBV is believed to be a possible factor in the aetiology; clonally expanded T cells might represent a population of cytotoxic T cell reactions in tumour.7 Ezrin is a cytoskeletal protein involved in cell adhesion. Phosphorylation of ezrin contributes to lymph node metastasis in lymphoepithelioma-like gastric carcinoma.8,9 The present patient had a history of smoking for more than 30 years. The relationship between smoking and lymphoepithelioma-like gastric carcinoma should be explored in the future. Although the incidence of this tumour is increasing,1,6 it is still a rare gastric carcinoma, and clinicians are often not familiar with it, its preoperative diagnosis is difficult. Most cases are diagnosed pathologically after tumour surgery.1

In the present case, careful sampling and study of pathological sections helped confirm the diagnosis prior to surgery. Standardised protocols for management are urgently needed for lymphoepithelioma-like gastric carcinoma.3 Treatment is usually based on that of common gastric cancer, particularly gastric adenocarcinoma.3 Chemotherapy has been widely used in the treatment of gastric carcinoma; however, there have been no reports of successful treatment using only chemotherapy for early- or intermediate-stage gastric cancer. Chemotherapy is the mainstay of treatment for gastric cancer, especially for advanced gastric cancer. The SOX regimen is the first-line treatment that is frequently used in East Asia for patients with advanced gastric adenocarcinoma.10 In previous studies, endoscopic submucosal dissection, endoscopic resection, and laparoscopic distal gastrectomy have been used to treat lymphoepithelioma-like gastric carcinoma.5 Other treatments have also been studied, including DNA methylation inhibitors, immune checkpoint inhibitors, and other potential therapies such as proteasome inhibitors, histone deacetylase inhibitors and others.6 Successful treatment using only chemotherapy has never been reported. The current patient was treated using both chemotherapy and surgery; however, surprisingly, all of the tumour cells were killed by chemotherapy before surgery, demonstrated by tumour regression grading 0 by pathological examination of the resected specimen. It appears that only two cycles of chemotherapy with SOX regimen were sufficient. Compared with surgery, several authors prefer chemotherapy because of the lesser degree of trauma. For this type of gastric carcinoma which is characterised by better outcomes than those of other gastric carcinomas, two or more cycles of chemotherapy with SOX regimen could be considered in the future. Large-scale and multi-centre studies with long follow-up periods are needed and assessments of additional cases are required to establish standardised management protocols for this rare carcinoma.

Lymphoepithelioma-like carcinoma of the stomach is a rare tumour that could be treated with only chemotherapy of two or more cycles of SOX regimen (tegafur-gimeracil-oteracil plus oxaliplatin) with favourable outcomes.

PATIENTS CONSENT:
The consent of the patient was acquired prior to the writing of the manuscript.

COMPETING INTEREST:
The authors declared no competing interest.

AUTHORS’ CONTRIBUTION:
LS: Responsible for the conception and design of the work.
JC: Responsible for the analysis of data for the work and revising it critically for important intellectual content.
LY: Responsible for the final approval of the version to be published and agrees to be accountable for all aspects of the work in ensuring that questions related to the accuracy or integrity of any part of the work are appropriately investigated and resolved. 

REFERENCES

  1. Wang ZH, Zhao JJ, Yuan Z. Lymphoepithelioma-like gastric carcinoma: A case report and review of the literature. World J Gastroenterol 2016; 22(10):3056-61. doi: 10. 3748/wjg.v22.i10.3056.
  2. Murphy G, Pfeiffer R, Camargo MC, Rabkin CS. Meta-analysis shows that prevalence of Epstein-Barr virus-positive gastric cancer differs based on sex and anatomic location. Gastroenterology 2009; 137(3):824-33. doi: 10.1053/j.gastro.2009.05.001.
  3. Iwasaki K, Suda T, Takano Y, Ohno Y, Yamada E, Okazaki N, et al. Postoperative outcomes of gastric carcinoma with lymphoid stroma. World J Surg Oncol 2020;18(1):102. doi: 10.1186/s12957-020-01878-9.
  4. Bray F, Ferlay J, Soerjomataram I, Siegel RL, Torre LA, Jemal A. Global cancer statistics 2018: GLOBOCAN estimates of incidence and mortality worldwide for 36 cancers in 185 countries. CA Cancer J Clin 2018; 68(6):394-424. doi: 10.3322/caac.21492. 
  5. Cheng Y, Zhou X, Xu K, Huang J, Huang Q. Very low risk of lymph node metastasis in Epstein-Barr virus-associated early gastric carcinoma with lymphoid stroma. BMC Gastroenterol 2020; 20(1):273. doi: 10.1186/s12876- 020-01422-9.
  6. Nishikawa J, Iizasa H, Yoshiyama H, Shimokuri K, Kobayashi Y, Sasaki S, et al. Clinical Importance of epstein–barr virus-associated gastric cancer. Cancers (Basel) 2018; 10(6): 167. doi: 10.3390/cancers10060167.
  7. Lee JM, Kim H, Noh SH, Lee WY, Kim SJ, Park JH. Expression of epstein-barr virus gene and clonality of infiltrated t lymphocytes in epstein-barr virus-associated gastric carcinoma. Immune Netw 2011; 11(1):50-8. doi: 10.4110/ in.2011.11.1.50. 
  8. Liang F, Wang Y, Shi L, Zhang J. Association of Ezrin expression with the progression and prognosis of gastrointestinal cancer: A meta-analysis. Oncotarget 2017; 8(54):93186-95. doi: 10.18632/oncotarget.21473.
  9. Tobo T, Hirahashi M, Yao T, Aishima S, Oda Y. Ezrin expression and its phosphorylation in gastric carcinoma with lymphoid stroma and Epstein-Barr virus infection. Mol Clin Oncol 2013; 1(2):220-4. doi: 10.3892/mco.2012.56.
  10. Yoshikawa T, Muro K, Shitara K, Oh DY, Kang YK, Chung HC, et al. Effect of first-line S-1 plus oxaliplatin with or without ramucirumab followed by paclitaxel plus ramucirumab on advanced gastric cancer in East Asia: The phase 2 rainstorm randomised clinical trial. JAMA Netw Open 2019; 2(8):e198243. doi: 10.1001/jamanetworkopen.2019.8243.